Insignia

 

Advanced Digital 
Orthodontic Solution

 

The Insignia Solution

Combining the efficiency of digital smile design and the precision of patient-specific appliances.

 

Insignia offers a comprehensive digital design and customized appliance treatment system that empowers you to achieve your ideal finishes efficiently and consistently.

HOW IT WORKS:

insignia overview scan
SCAN

Patient data is digitized and
prepared for 3D design.

insignia overview design
DESIGN

Case specialists provide a setup
that you are able to review and
manipulate using Insignia’s
Approver software.

insignia overview build
BUILD

Custom brackets, wires and
placement guides (jigs) are
fabricated based on your
approved design.

insignia overview bond
BOND

Custom brackets are accurately
positioned with precision
indirect bonding jigs.

Explore Your Insignia Advantage

Predictability

Begin with the end in sight

The digital tools in Insignia’s Approver software enable you to simulate the final desired result at the beginning of treatment. Easy manipulation of the dentition and occlusion takes much of the guesswork out of treatment planning for greater predictability and consistency.

 

Your smile design, your finish, enhanced with TruRoot.™

The newly launched TruRoot feature combines CBCT root data with crown data from intraoral scanners or impressions for uncompromising accuracy in the representation of patientsʼ root positions.

 

 

 

87.5% of Insignia TruRoot users interviewed found the feature significantly improved their ability to visualize and predict root and tooth movement.*

*Data based on 2017 Insignia customer satisfaction survey

Precision

 

Design Precision

Insigniaʼs unique visual tools allow you to plan smile design details precisely.

 

Bonding Precision

Insignia’s customized placement jigs help ensure brackets are accurately transferred to the correct positions.

 

 

 

98% Bracket Transfer Accuracy*

*Data provided by Dr. Leon Verhagen, Lichtenvoorde, Netherlands based on over 105 Insignia SL cases (September 2017)

What our doctors are saying

Efficiency

Minimizes detailing effort. Maximizes the possibilities of smile design.

Insignia’s custom, per-patient system controls and minimizes treatment variables, reducing the time and effort you spend on detailing.

Insignia is the shortest distance between the start and the finish of a case.

Dr. Timothy Bandeen

Battle Creek, Michigan, USA

insignia efficiency treatment time

37%

Reduction in Treatment Time¹

insignia efficiency visits

15%

Fewer Visits Per Patient¹

80% of doctors interviewed who experienced significantly fewer torque bends²

80% of doctors interviewed
who experienced significantly
fewer torque bends
²

71% of doctors interviewed who experienced torque bends of less magnitude²

71% of doctors interviewed
who experienced torque bends
of less magnitude
²

Patients Who Finished Treatment Without Bracket Repositioning
 

Patients Who Finished Treatment Without Bracket Repositioning TRADITIONAL APPROACH
Traditional Approach3
Patients Who Finished Treatment Without Bracket Repositioning INSIGNIA APPROACH
Insignia Approach3

¹ Data based on AJO-Do article published in December 2015
² Data based on 2017 Insignia customer satisfaction survey
³ Data collected based on clinical research conducted by Dr. Timothy Bandeen comparing cases treated with Insignia SL from 2009 to 2015 vs. cases treated with Damon SL prior to 2009

What our doctors are saying

Consistency

Consistent quality results achieved across a wide spectrum of case types.

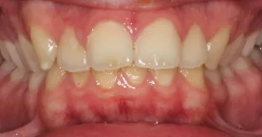
Skeletal Class I

Skeletal Class I: Treatment time – 11.5 months, 9 appointments.
Case treated by Dr. Jamie Reynolds, Novi, Michigan, USA

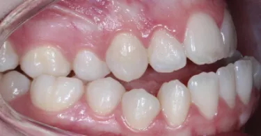
Skeletal Class II

Skeletal Class II: Severely crowded maxilla. Treated without extraction.
Case treated by Dr. Ashley Smith, Toowoomba, QLD, Australia

Skeletal Class III

Skeletal Class III: With complete cross bite and open bite. Treatment time – 21 months, 18 appointments.
Case treated by Dr. David González Zamora, Madrid, Spain

Skeletal Class II

Skeletal Class II: Significant mandibular retrognathia. Surgical case treated without rebonds or torque adjustments.
Case treated by Dr. Chris Turnock, Toowoomba, QLD, Australia

What our doctors are saying

tooth scan

Practice Management

Productivity

Insignia can reduce the number of treatment appointments and decrease fixed costs per visit, allowing you to achieve more with the same resources.

With Insignia, we're not just busier, we're more productive

Dr. Timothy Bandeen

Battle Creek, Michigan, USA

Impact of Insignia on key practice metrics¹

* Number of appointments increased due to new patients acquired.
¹ Data collected by Dr. Timothy Bandeen, Battle Creek, Michigan, comparing cases treated with Insignia SL from 2009 to 2015 vs. cases treated with Damon SL prior to 2009.
 

Streamlines Workflow. Fosters Delegation.

LEAN

With appliances fabricated on an as-needed basis, Insignia can significantly reduce inventory management time and cost.

STANDARD

Daily workflow can be standardized across multiple locations, even with multiple doctors, for consistent results.

DELEGATION

Insignia fosters increased opportunities for staff delegation.

What our doctors are saying

smiling face background image

Patient Experience

By using Insignia, your patients can experience the excitement of seeing what their smile will look like before treatment starts, the greater comfort that comes from fewer wire bends, and overall shorter treatment times.

  • Greater comfort
  • Shorter treatment times
  • Your ability to show them their new smile before bonding

The Insignia Story

What patients are saying

Annushya Mahendran

My overall treatment experience with Insignia has been really good. My new smile is such a confidence booster and I know the result will be life-changing. The customized approach makes me feel very special. I know that the process was designed just for me and my teeth will look great when I get my braces removed.

Age 15

Keely Mooney

My smile defines me because I am always smiling. With Insignia clear brackets, I feel comfortable continuing to show my big smile even with braces. The treatment process feels fast. After 6 months, my teeth started to come together, and they are getting better and better every day. People always ask me about where I got my treatment done and I always recommended Insignia!

Age 20

John Yun

When I thought about getting orthodontic treatment, I felt insecure and uncertain. The fact that Insignia allowed me to see my final result at the beginning of treatment gave me a lot of confidence. I trusted Insignia and understood how it would help me achieve my perfect smile every step of the way in this journey.

Age 18